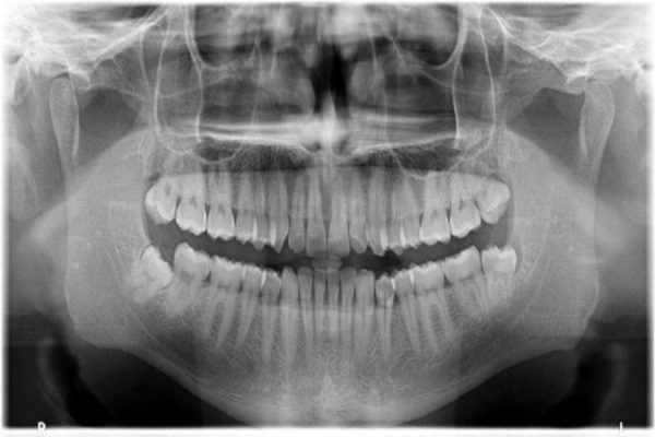
At Manubhai Shah Medical & Research Centre, we proudly present state-of-the-art OPG (Orthopantomogram) X-ray services. An OPG (Orthopantomagram) is a panoramic scanning dental X-ray of the upper and lower jaw. It is also sometimes called by the proprietary name Orthopantomagraph or Panorex. It shows a flattened two-dimensional view of a half-circle from ear to ear. Panoramic x-rays allow images of multiple angles to be taken to make up the composite panoramic image, where the maxilla (upper jaw) and mandible (lower jaw) are in the viewed area. The structures that are outside the viewed area are blurred. At some stage in your dental treatment, your dentist will likely take an OPG.

Comprehensive OPG Dental X-ray Services: Your Trusted Imaging Partner

Discover advanced imaging solutions at our OPG-Xray center in Mumbai, offering state-of-the-art technology and expertise for accurate diagnoses. As a leading OPG center in the city, we specialize in providing high-quality OPG-Xray services tailored to your dental and maxillofacial imaging needs. Our dedicated team of radiologists and technicians ensures precise and reliable results, prioritizing patient comfort and safety throughout the process. Whether you require routine OPG-Xray screenings or specialized imaging, our center in Mumbai is equipped to meet your requirements with efficiency and excellence. Trust us as your preferred x-ray center in Mumbai for comprehensive OPG-Xray services that deliver exceptional quality and care. Choose us for all your imaging needs and experience the difference of advanced technology and expert diagnosis.